logo
08 MAYIS 2026

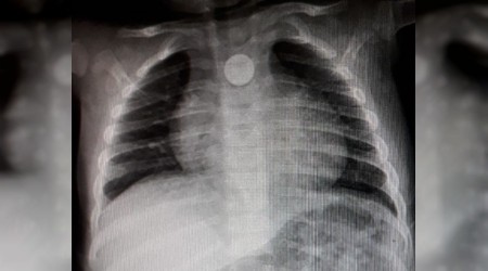
1 lira yüzünden ölüyordu

Evinde oynarken yerde bulduğu madeni 1 lirayı yutan 9 aylık bebek ölümden döndü. Röntgen filminde bebeğin boğazındaki 1 lirayı farkeden doktorlar operasyonla parayı çıkardı. Evine dönen Mustafa ise her şeyden habersiz oyunlarına devam etti 
 

15.11.2018 00:00:00
1 lira yüzünden ölüyordu
1 lira yüzünden ölüyordu

9 aylık Mustafa bebek yuttuğu 1 lira yüzünden az kalsın ölüyordu. Olay geçtiğimiz gün Bursa İnegöl'de yaşandı. Abir ve İbrahim Osman çiftinin tek çocuğu olan 9 aylık Mustafa Osman, evde oyun oynadığı sırada yerde bulduğu 1 lirayı yuttu.

Boğazına takılan madeni para yüzünden nefessiz kalan minik bebek önce İnegöl Devlet Hastanesi'ne ardından da Bursa Şevket yılmaz Eğitim Araştırma Hastanesine götürüldü.  


Yoğun bakıma alınan minik bebeğe önce film çekildi. 9 aylık Mustafa'nın boğazına takılan madeni para filmde ortaya çıkınca doktorlar tarafından operasyon yapıldı. Boğazındaki 1 lira çıkarılan minik bebek daha sonra rahat nefes almaya başladı.

1 gün hastanede müşahade altında tutulan küçük çocuk bugün taburcu edildi. Doktorların zamanında müdahalesiyle yeniden hayata dönen küçük çocuğu evinde yeniden oyuncaklarıyla oynamaya başlaması ev sakinlerini sevindirdi.

Mustafa'nın amcası Hüseyin Osman, "Yeğenim oyun oynarken yerde 1 lira görüyor ve yutmaya çalıştığı sırada boğazına takılı kalıyor. Bizde hemen hastane götürdük. Daha sonra bizi Bursa'ya gönderdiler. Çok şükür Bursa'daki hastanede operasyonla para çıkartıldı. Allah'a şükürler olsun ki yeğenimize bir şey olmadı" dedi.

İHA

Türkiye, Dönem Başkanlığına seçildi

Ulaştırma ve Altyapı Bakanı Abdulkadir Uraloğlu, Türkiye'nin oy birliği ile Uluslararası Ulaştırma Forumu'nun (ITF) 2027-2028 dönem başkanlığına seçildiğini duyurdu

07.05.2026 18:24:00
İhlas Haber Ajansı
Türkiye, Dönem Başkanlığına seçildi
Türkiye, Dönem Başkanlığına seçildi
Ulaştırma ve Altyapı Bakanı Abdulkadir Uraloğlu, Türkiye'nin oy birliği ile Uluslararası Ulaştırma Forumu'nun (ITF) 2027-2028 dönem başkanlığına seçildiğini duyurdu.
Ulaştırma ve Altyapı Bakanı Abdulkadir Uraloğlu, Almanya'nın Leipzig kentinde düzenlenen Uluslararası Ulaştırma Forumu'na (ITF) katıldı. Bakan Uraloğlu, Türkiye'nin küresel ulaştırma politikasının en önemli etkinliği kabul edilen ITF'nin 2027-2028 dönem başkanlığına seçildiğini duyurdu.
Bakan Uraloğlu, forumda yaptığı açıklamada, ilk olarak geçtiğimiz pazartesi günü Almanya'nın Leipzig kentinde araçla yapılan saldırıda hayatını kaybedenler için taziyelerini iletti. Uraloğlu, Türkiye'nin ulaştırma vizyonuna değinerek, Türkiye'nin 1953 yılında ITF'in kurucu üyeleri arasında yer aldığını ve 2009 yılında da başkanlık görevini başarıyla yürüttüğünü hatırlattı.

"Türkiye, sadece bir transit ülke değil, bölgeleri, pazarları ve insanları birbirine bağlayan stratejik bir merkezdir"
Türkiye'nin jeopolitik önemine dikkati çeken Uraloğlu, "Türkiye; Avrupa, Asya ve Orta Doğu'nun kesişim noktasında sadece bir transit ülke değil, bölgeleri, pazarları ve insanları birbirine bağlayan stratejik bir merkezdir. Bu konum, bize kıtalar arasında dayanıklı ve kesintisiz ulaştırma bağlantıları sağlama sorumluluğu yüklemektedir. Küresel tedarik zincirlerinin yeniden şekillendiği bu dönemde; jeopolitik riskler, iklim değişikliği ve dijital dönüşüm ulaştırma politikalarını yeniden tanımlıyor" dedi.

"Türkiye dayanıklılık ve sürdürülebilirlik ilkelerini merkeze alacak"
Türkiye'nin otoyollardan yüksek hızlı demiryollarına, limanlardan lojistik merkezlere kadar devasa yatırımlar gerçekleştirdiğini belirten Uraloğlu, Orta Koridor ve Kalkınma Yolu projelerinin küresel ticaret için önemini vurguladı. Bakan Uraloğlu, Türkiye'nin Dönem Başkanlığı süresince dayanıklılık ve sürdürülebilirlik ilkelerini merkeze alacaklarını ifade etti.
Bakan Uraloğlu, konuşmasının sonunda ITF üyeliğine kabul edilen Gana, Panama ve Peru'yu tebrik ederek, tüm meslektaşlarını kasım ayında Türkiye'de gerçekleştirilecek olan COP31 ulaştırma gündemi etkinliklerine davet etti.

"Türkiye; artık sadece koridorların merkezinde değil, küresel ulaştırma politikalarının da karar masasında yer almaktadır"
Bakan Uraloğlu, sosyal medya hesabı üzerinden yaptığı açıklamada ise, "Uluslararası Ulaştırma Forumu (ITF) 2026 Zirvesi Ulaştırma Bakanları Konseyi'nde, ülkemiz adına tarihi bir sorumluluğu üstlenmenin gururunu yaşıyoruz. Türkiye, ulaştırma dünyasının en güçlü ve en saygın platformlarından biri olan Uluslararası Ulaştırma Forumu'nun (ITF) 2027 Dönem Başkanlığına oy birliği ile seçildi. Bu görev; yalnızca ülkemize duyulan güvenin değil, son yıllarda hayata geçirdiğimiz dev ulaştırma yatırımlarının, küresel ölçekte kurduğumuz güçlü lojistik ağların ve vizyoner projelerimizin de uluslararası düzeyde tescilidir. Asya ile Avrupa'yı buluşturan Türkiye; artık sadece koridorların merkezinde değil, küresel ulaştırma politikalarının da karar masasında yer almaktadır. Türkiye Yüzyılı vizyonuyla; ulaştırmada yön çizen, standart belirleyen ve geleceğin mobilite ekosistemine liderlik eden ülkelerden biri olmaya kararlılıkla devam edeceğiz" dedi.İHA

"Konkordato süreci kötüye kullanılıyor"

Adalet Bakanı Akın Gürlek, konkordato sürecinin kötüye kullanıldığını, bu konuda yeni bir düzenleme yapmayı düşündüklerini belirterek, "Bir defadan sonra şirket yeniden hayatta kalabiliyorsa hayatta kalacak, kalamıyorsa da iflasına karar vereceğiz" dedi.

07.05.2026 18:23:00
İhlas Haber Ajansı
"Konkordato süreci kötüye kullanılıyor"
"Konkordato süreci kötüye kullanılıyor"
Adalet Bakanı Akın Gürlek, konkordato sürecinin kötüye kullanıldığını, bu konuda yeni bir düzenleme yapmayı düşündüklerini belirterek, "Bir defadan sonra şirket yeniden hayatta kalabiliyorsa hayatta kalacak, kalamıyorsa da iflasına karar vereceğiz" dedi.
Adalet Bakanı Akın Gürlek, Ege Bölgesi milletvekilleriyle Ankara Hakimevi'nde düzenlenen istişare toplantısında bir araya geldi. Bölge milletvekilleriyle yapılan toplantıların faydalı geçtiğini ifade eden Gürlek, "Bu toplantılar hem bölgenin sorunlarını anlamak açısından hem de eksiklikleri görmek açısından bize fayda getiriyor" diye konuştu.
Milletvekillerinin öneri ve değerlendirmelerinin önemli olduğunu vurgulayan Gürlek, "İstişarede fayda var" ifadelerini kullandı.

"Konkordato süreci kötüye kullanılıyor"
Konkordato uygulamasının kötüye kullanıldığına dikkat çeken Bakan Gürlek, "Konkordato aslında iş adamlarına, fabrika sahiplerine, iş dünyasına bir anlamda yaşama şansı tanımak, iflastan önceki bir adım ama maalesef bu süreç kötüye kullanılıyor" dedi.
Konkordato konusunda yeni bir düzenleme üzerinde çalıştıklarını belirten Gürlek, "Bir bilirkişi raporuyla konkordato kararı alıyorlar. Ondan sonra sistemi kilitliyorlar" ifadelerini kullandı.
Konkordato kararının yalnızca bir kez alınabilmesine yönelik düzenleme düşündüklerini kaydeden Gürlek, "Bir defadan sonra da artık şirket yeniden hayatta kalabiliyorsa hayatta kalacak, kalamıyorsa da artık şirketin iflasına karar vereceğiz" şeklinde konuştu.

"5 günde tebligat yapılmış sayılacak"
E-Tebligat düzenlemesine ilişkin de açıklamalarda bulunan Gürlek, söz konusu yasanın halen TBMM gündeminde olduğunu belirterek, "Yeni düzenleme ile artık 5 günlük süre içerisinde tebligat yapılmış sayılacak" dedi.
12'nci Yargı Paketi hazırlıklarının sürdüğünü ifade eden Gürlek, "Özellikle bu kanun paketinde bölgelerin ihtiyaçları ve milletvekillerimizin önerileri bizim için çok önemli. Bu konu henüz bitme aşamasına gelmedi" diye konuştu.
Sosyal medyada kimlik doğrulama sistemine ilişkin de değerlendirmelerde bulunan Gürlek, sosyal medya platformlarıyla görüşmeler yapıldığını belirtti. Gürlek, sosyal medyaya kimlikle giriş konusunda bir geçiş süreci öngördüklerini ifade etti. Bakan Gürlek ayrıca, "Yargının Etkinliği Bürosu" ile "Alo Adalet" sistemlerinin uyumlu hale getirilmesi için çalışma yürüttüklerini söyledi.İHA

BTP camiasının acı günü: Necati Yağcı son yolculuğuna uğurlandı

Bağımsız Türkiye Partisi (BTP) Bolu İl Başkanı Mustafa Yağcı'nın babası, aynı zamanda BTP Mengen İlçe Başkanı olan Necati Yağcı hayatını kaybetti

07.05.2026 18:07:00 / Güncelleme: 08.05.2026 00:47:11
Hasan Gündoğdu
BTP camiasının acı günü: Necati Yağcı son yolculuğuna uğurlandı
BTP camiasının acı günü: Necati Yağcı son yolculuğuna uğurlandı
Mengen'de geniş katılımlı cenaze töreni

Necati Yağcı için Bolu'nun Mengen ilçesinde cenaze töreni düzenlendi. Öğle namazına müteakip kılınan cenaze namazına çok sayıda vatandaşın yanı sıra Bağımsız Türkiye Partisi yöneticileri ve teşkilat mensupları katıldı.



Bağımsız Türkiye Partisi Genel Başkanı Hüseyin Baş, merhum Necati Yağcı için taziye mesajı yayımlarken cenazeye çelenk gönderdi.



Cenaze törenine BTP Genel Başkan Yardımcıları Sabri Terzi ve Yenal Arman, MYK Üyeleri Ali Nezir ve Haydar Özdoğan, BTP Karabük İl Başkanı Latif Danakol, BTP Düzce İl Başkanı Ertan Ergül ve BTP Eskişehir İl Başkanı Fahri Gürgenburan da katılım sağladı. Ayrıca Bolu Bağımsız Milletvekili İsmail Akgül de cenazede hazır bulundu.



Dualarla defnedildi

Merhum Necati Yağcı'nın naaşı, öğle namazının ardından kılınan cenaze namazı sonrası dualarla son yolculuğuna uğurlandı.



Bağımsız Türkiye Partisi camiası, uzun yıllardır teşkilat çalışmalarında görev alan Necati Yağcı'nın vefatı nedeniyle büyük üzüntü yaşarken, sevenleri ve yakınları cenaze töreninde Yağcı ailesini yalnız bırakmadı.




12. Yargı Paketi'nde radikal değişiklikler

12. Yargı Paketi’yle süresiz nafaka kalkıyor, duruşmalar 3 ayı aşamayacak, hakim hukuki konuda bilirkişiye gidemeyecek; gündüz kuşağı programları ve hobi bahçelerine de sıkı düzenlemeler geliyor

07.05.2026 18:05:00
Eyüp Kabil
12. Yargı Paketi'nde radikal değişiklikler
12. Yargı Paketi'nde radikal değişiklikler
Adalet Bakanlığı'nın hazırlıklarını yoğunlaştırdığı 12. Yargı Paketi, Türk hukuk sisteminde uzun yıllardır beklenen köklü reformları bir arada getiriyor. Kamuoyunda büyük yankı uyandıran pakette, aile hukuku, yargılama usulleri, medya yayıncılığı ve imar sorunları gibi kritik başlıklar yer alıyor.

Kulislerde yer alan son bilgilere göre paket, yargılamaları hızlandırmayı, mahkeme yükünü azaltmayı ve vatandaşların adalete erişimini kolaylaştırmayı hedefliyor. Düzenlemelerin önümüzdeki günlerde TBMM'ye sunulması ve yaz aylarında yasalaşması bekleniyor.

Süresiz nafaka uygulaması

Paketin en dikkat çeken maddesi, yıllardır tartışma konusu olan süresiz nafaka uygulaması. Mevcut sistemde boşanma sonrası yoksulluk nafakası süresiz bağlanabiliyor ve bu durum özellikle kısa süreli evliliklerde uzun yıllar süren mağduriyetlere yol açıyordu.

Yeni düzenlemeyle süresiz nafaka uygulamasına son verilmesi ve nafakanın evlilik süresi, tarafların ekonomik durumları, kusur oranları ile yeniden evlenme ihtimali gibi objektif kriterlere göre sınırlandırılması öngörülüyor. Böylece nafaka yükü altında yeni bir hayat kuramayan vatandaşlara rahatlama sağlanırken, ihtiyaç sahibi tarafın korunması için geçiş hükümleri getirilmesi planlanıyor.

Duruşma ertelemeleri

Yargılamaların yıllarca uzamasını önlemek amacıyla önemli bir adım da duruşma ertelemelerinde atılıyor. Pakete göre, duruşmalar yazılı gerekçe sunulmadıkça 3 aydan daha fazla ertelenemeyecek. Bu kural, dosyaların raflarda aylarca beklemesinin önüne geçerek "makul sürede yargılanma" hakkını güçlendirecek. Uzmanlar, özellikle çekişmeli boşanma, tazminat ve miras davalarında büyük bir rahatlama yaratacağını belirtiyor.

Bilirkişi

Hakimlerin yetki alanını netleştirecek bir başka düzenleme ise bilirkişi uygulamasıyla ilgili. Hakim, artık hukuki niteliği olan konularda bilirkişiye başvuramayacak. Bilirkişi incelemesi yalnızca teknik, bilimsel veya uzmanlık gerektiren hususlarda istenebilecek. Bu değişiklik, gereksiz rapor talepleri, çelişkili bilirkişi görüşleri ve ek incelemelerle uzayan davaların azaltılmasını sağlayacak.

Gündüz kuşağı programlarına düzenleme

Paket, yargı alanının ötesinde medya ve imar konularına da el atıyor. Televizyonların gündüz kuşağı programlarına önemli kısıtlamalar getirilmesi bekleniyor. "Paralel mahkeme" gibi işlev gören, kişilerin özel hayatını ifşa eden ve yargılama standartlarını taklit eden yayın içerikleri sıkı denetime tabi tutulacak. RTÜK standartlarının güçlendirilmesiyle linç kültürüne ve mahremiyet ihlallerine son verilmesi hedefleniyor.

Bir diğer kritik başlık ise hobi bahçeleri sorunu. Tarım arazileri üzerine kurulan ve sayısı 100 bini aşan hobi bahçeleri nedeniyle binlerce dava birikmişti. Pakette bu alana özel düzenleme getirilerek kaçak yapılaşma sorununun hukuki çerçeveye kavuşturulması, mülkiyet haklarının korunması ve tarım topraklarının muhafaza edilmesi amaçlanıyor. Cumhurbaşkanı talimatıyla hazırlanan yönetmelik çalışmalarının da paketle yasalaşması bekleniyor.

Adalet Bakanlığı yetkilileri, paketin hazırlanmasında barolar, hakim-savcı dernekleri ve sivil toplum kuruluşlarıyla geniş istişarelerde bulunduklarını vurguluyor. 12. Yargı Paketi'nin yasalaşmasıyla yargı sisteminin daha etkin, hızlı ve güvenilir hale gelmesi, milyonlarca vatandaşı doğrudan etkileyecek köklü bir dönüşüm yaratması öngörülüyor.

Danıştay'dan Akbelen kararı: Milas'taki acele kamulaştırmalar durduruldu

Danıştay 6. Ceza Dairesi, Muğla'nın Milas ilçesinde İkizköy Mahallesi'ne bağlı Akbelen mevkinde, altı mahalle için özel mülkün acele kamulaştırma kararlarının yürütmesini durdurdu

07.05.2026 16:44:00
Haber Merkezi
Danıştay'dan Akbelen kararı: Milas'taki acele kamulaştırmalar durduruldu
Danıştay'dan Akbelen kararı: Milas'taki acele kamulaştırmalar durduruldu
5 Mayıs'ta taraflara tebliğ edilen kararda, bölgede "acelelik hali" bulunmadığı ve acele kamulaştırmanın uygulanması hâlinde giderilmesi güç veya imkânsız zararların doğacağı ifade edildi.

10 Ocak'ta Resmi Gazete'de yayımlanan Cumhurbaşkanı Kararı ile Akbelen ormanı çevresindeki Bağdamları, Çakıralan, Çamköy, İkizköy, Karacaağaç ve Karacahisar mahallelerindeki 679 parsellik tarım arazisi acele kamulaştırılmıştı.

Araziler madene ruhsatlı ve bölgenin yakınındaki Yeniköy ve Kemerköy termik santrallerine yakıt sağlamak amacıyla kömür madenine çevrilmek isteniyordu.

Akbelenli köylüler kararı sevinçle karşıladı.

Köylüler yaptıkları basın açıklamasında benzer bir kararın Anayasa Mahkemesi tarafından atılmasını beklediklerini söylediler.

Açıklamada, "Bu karar tamamen iptal edilinceye, bu şirketler köyümüzden defolup gidinceye kadar kazandık demeyeceğiz" denildi.

Madencilik yasasının iptali için muhalif 260 milletvekilinin ortak imzasıyla Anayasa Mahkemesi'ne 17 Eylül 2025'te iptal davası açılmıştı. Bu dava henüz sonuçlanmadı.

'Bu kararla İkizköylüler kimseyi bağına bahçesine sokmaz'
Akbelenli köylülerin avukatlığını üstlenen Cangı Avukatlık Bürosu'ndan Arif Ali Cangı ve İpek Sarıca'ya göre Danıştay kararı, acele kamulaştırmaların şirketlerin çıkarına yapıldığını tartışmasız hale getirdi.

Cangı ve Sarıca kararla birlikte acele kamulaştırmaya dayalı tüm idari işlemlerin geçersiz sayıldığını ve el koyma girişimleri, bilirkişi incelemeleri ve bedel tespiti süreçlerinin artık hukuken uygulanamayacağını belirtti.

Avukatlar Milas 2. Asliye Hukuk Mahkemesi'nde görülen 649 el koyma davasının da dayanaksız kaldığını ifade etti. Açıklamalarında, bu davaların başka bir işleme gerek kalmadan reddedilmesi gerektiği belirtildi.

Danıştay kararının herkes için bağlayıcı olduğu hatırlatılarak, Milas'taki 7 köyü kapsayan 679 parsel için alınan acele kamulaştırma kararından derhal dönülmesi çağrısı yapıldı.

Öte yandan, acele kamulaştırma süreçlerini kolaylaştırdığı belirtilen 7554 sayılı kanunun iptali için Anayasa Mahkemesi'nde açılan davanın kritik olduğu vurgulandı.

Cangı, söz konusu kararın kesinleşmesi beklenmeden uygulanması gerektiğini söyledi.

Cangı, "Maden ve Petrol İşleri Genel Müdürlüğü, Danıştay'ın kararını Cumhurbaşkanlığı'na göndermeli ve iptalini istemeli. Cumhurbaşkanlığı da acele kamulaştırmayı durdurma kararı vermeli" dedi.

Cumhurbaşkanlığı'nın da bu karardan dönmesi gerektiğini kaydeden Cangı, "Bu kararı eline alan İkizköylüler kimseyi bağına bahçesine sokmaz" diye konuştu.

Cangı ve Sarıca'nın açıklamasında, Akbelen protestoları sırasında tutuklanan Esra Işık'ın durumuna da dikkat çekildi.

Tutuklamaya dayanak olan süreçlerin hukuki temelini yitirdiği belirtilerek, Işık'ın derhal serbest bırakılması istendi.

Aziz İhsan Aktaş suç örgütü davasının 30. duruşmasında ara karar açıklandı

Aziz İhsan Aktaş suç örgütüne ilişkin, 6'sı görevinden uzaklaştırılan 7 belediye başkanının da aralarında bulunduğu, 11'i tutuklu 200 sanığın yargılandığı dava dosyası, esas hakkındaki mütalaanın hazırlanması için savcılığa gönderildi

07.05.2026 13:25:00
AA
Aziz İhsan Aktaş suç örgütü davasının 30. duruşmasında ara karar açıklandı
Aziz İhsan Aktaş suç örgütü davasının 30. duruşmasında ara karar açıklandı
İstanbul 1. Ağır Ceza Mahkemesince Marmara Kapalı Ceza İnfaz Kurumu karşısındaki salonda yapılan 30. duruşmaya, tutuklanmalarının ardından görevlerinden uzaklaştırılan Beşiktaş Belediye Başkanı Rıza Akpolat ve Avcılar Belediye Başkanı Utku Caner Çaykara'nın da aralarında bulunduğu 8 tutuklu sanık katıldı.

Sanıkların yakınları da duruşmada izleyici olarak yer aldı.

Önceki celselerde sanık avukatlarının talepleri alınan duruşmada, mahkeme heyeti ara kararını açıkladı.

Heyet, duruşmaya mazeret bildirerek katılmayan avukatların devam eden celselerde savunma yapabileceklerine karar verdi.

Ulaşılamadığı için 3 mağdur ve 1 tanığın duruşmada ifadelerinin alınamadığını belirten mahkeme, bu kişilerin beyanlarının alınmasından vazgeçerek dosyadaki ifadelerinin okunmasına hükmetti.

Mahkeme heyeti, avukatların yetkisizlik, görevsizlik, durma ve tefrik gibi taleplerinin reddine karar vererek, esas hakkındaki mütalaasını hazırlamak için dosyanın iddia makamına gönderilmesini kararlaştırdı.

Cumhuriyet savcılığının esas hakkındaki mütalaasını hazırlaması için 1 hafta süre istemesi üzerine duruşma 14 Mayıs Perşembe gününe ertelendi.

İddianameden
İstanbul Cumhuriyet Başsavcılığınca hazırlanan 579 sayfalık iddianamede, Beşiktaş Belediyesi, Avcılar Belediyesi, Esenyurt Belediyesi, İstanbul ASFALT Fabrikaları San. ve Tic. AŞ ile İstanbul Elektrik Tramvay ve Tünel İşletmeleri Genel Müdürlüğü "suçtan zarar gören", 19 kişi "mağdur", 200 kişi ise "sanık" olarak yer alıyor.

İddianamede, sanıklardan Aziz İhsan Aktaş'ın "suç işlemek amacıyla örgüt kurma", 42 fiilden "ihaleye fesat karıştırma", 4 fiilden "edimin ifasına fesat karıştırma", 5 fiilden "resmi belgede sahtecilik", 21 fiilden "özel belgede sahtecilik", "kamu kurum ve kuruluşları zararına dolandırıcılık", 10 fiilden "rüşvet verme", "suçtan kaynaklanan mal varlığı değerlerini aklama" ve "gerçeğe aykırı fatura düzenleme" suçlarından 187 yıldan 450 yıla kadar hapisle cezalandırılması ve suçtan sağladığı mal varlıklarının müsadere edilmesi isteniyor.

Tutuklanmasının ardından görevinden uzaklaştırılan Avcılar Belediye Başkanı Utku Caner Çaykara'nın 2 fiilden "ihaleye fesat karıştırma" ve "rüşvet alma" suçlarından 5 yıldan 15 yıla kadar hapisle cezalandırılması talep edilen iddianamede, görevinden uzaklaştırılan Esenyurt Belediye Başkanı Ahmet Özer'in 2 fiilden "ihaleye fesat karıştırma" ve 2 fiilden "özel belgede sahtecilik" suçlarından 3 yıldan 9 yıla kadar hapisle cezalandırılması öngörülüyor.

İddianamede, görevlerinden uzaklaştırılan Seyhan Belediye Başkanı Oya Tekin, Ceyhan Belediye Başkanı Kadir Aydar, Adana Büyükşehir Belediye Başkanı Zeydan Karalar ile hakkındaki adli kontrolün kaldırılmasının ardından görevine iade edilen Adıyaman Belediye Başkanı Abdurrahman Tutdere'nin "rüşvet alma" suçundan 4 yıldan 12'şer yıla kadar hapisle cezalandırılması talebinde bulunuluyor.

Ayrıca iddianamede, görevinden uzaklaştırılan Beşiktaş Belediye Başkanı Rıza Akpolat'ın "suç örgütüne üye olma", 26 fiilden "ihaleye fesat karıştırma", 3 fiilden "resmi belgede sahtecilik", 19 fiilden "özel belgede sahtecilik", "kamu kurum ve kuruluşlarının zararına dolandırıcılık", 4 fiilden "rüşvet alma", "suçtan kaynaklanan mal varlığı değerlerini aklama" ve "haksız mal edinme" suçlarından 133 yıldan 337 yıla kadar hapisle cezalandırılması ve suçtan elde ettiği mal varlıklarının müsadere edilmesi isteniyor.

Antalya Büyükşehir Belediyesi Genel Sekreteri Tuncer tutuklandı

Antalya Cumhuriyet Başsavcılığı tarafından "ihaleye fesat karıştırma, rüşvet ve suçtan elde edilen gelirin aklanması" suçları kapsamında Antalya Büyükşehir Belediyesi iştiraki ANSET'e yönelik yürütülen soruşturmada, hastanedeki tedavisinin ardından adliyeye sevk edilen Antalya Büyükşehir Belediyesi Genel Sekreteri Cansel Tuncer tutuklandı. Tuncer'in tutuklanmasıyla dosya kapsamında tutuklanan kişi sayısı 15'e yükseldi

06.05.2026 18:12:00 / Güncelleme: 06.05.2026 18:17:32
İHA
Antalya Büyükşehir Belediyesi Genel Sekreteri Tuncer tutuklandı
Antalya Büyükşehir Belediyesi Genel Sekreteri Tuncer tutuklandı
Antalya Cumhuriyet Başsavcılığı koordinesinde Antalya Emniyet Müdürlüğü Kaçakçılık ve Organize Suçlarla Mücadele Şube Müdürlüğü ekipleri tarafından Antalya Büyükşehir Belediyesi iştiraki ANSET'e yönelik çalışma başlatılmıştı.

Mülkiye başmüfettişi tarafından hazırlanan tevdi raporu ve emniyet birimlerince yapılan araştırmalar doğrultusunda ANSET tarafından gerçekleştirilen ihalelerde usulsüzlük yapıldığı tespit edilmişti. Soruşturma kapsamında ihalelerde yetkili olan kişiler ile aralarında suçtan elde edilen geliri aklama amacıyla para geçişleri tespit edilen şüpheliler hakkında işlem başlatılmıştı. Dosyada 113 milyon 426 bin TL kamu zararı tespit edilmişti.

Şüphelilerin yakalanması ve suç unsurlarının ele geçirilmesine yönelik 30 Nisan tarihinde Antalya merkezli olmak üzere İstanbul, Ankara, İzmir, Muğla, Denizli ve Edirne'de eş zamanlı operasyon düzenlenmişti. Soruşturma kapsamında ilk etapta 34 kişi hakkında gözaltı kararı verilmiş, süreç içinde 1 kişinin daha gözaltına alınmasıyla dosya kapsamındaki kişi sayısı 35'e yükselmişti.

Operasyon kapsamında gözaltına alınan şüphelilerden 27'si, emniyetteki işlemlerinin ardından adliyeye sevk edilmişti. Savcılık sorgusunun ardından 11 kişi serbest bırakılırken, sulh ceza hakimliğine sevk edilen zanlılardan 14'ü tutuklanmış, 2 kişi ise adli kontrol şartıyla serbest bırakılmıştı.


Cansel Tuncer de tutuklandı



Operasyon kapsamında hakkında gözaltı kararı olan Antalya Büyükşehir Belediyesi Genel Sekreteri Cansel Tuncer, bugün hastanedeki tedavisinin tamamlanmasının ardından adliyeye sevk edildi. Tuncer, savcılık işlemlerinin ardından çıkarıldığı nöbetçi sulh ceza hakimliğince "kamu kurum ve kuruluşları ihalesine fesat karıştırmak, edimin ifasına fesat karıştırmak, suçtan kaynaklanan malvarlığı değerlerini aklamak" suçlarından tutuklandı. Tuncer'in tutuklanmasıyla soruşturma kapsamında tutuklanan kişi sayısı 15'e yükseldi. Dosya kapsamında 3 firari şüpheliyi yakalamak için çalışmaların devam ettiği, 2 kişinin ise cezaevinde bulunduğu öğrenildi.İHA

Rojin'in babası Bakan ile görüştü

Adalet Bakanı Akın Gürlek, Rojin Kabaiş’in ailesi ve avukatlarıyla bir araya geldi. Soruşturmanın aydınlatılması için her türlü teknik imkânın kullanılacağını belirten Bakan, Rojin’in telefonunun Çin’e gönderileceğini açıkladı

06.05.2026 18:02:00
Haber Merkezi
Rojin'in babası Bakan ile görüştü
Rojin'in babası Bakan ile görüştü
Adalet Bakanı Akın Gürlek, Van Yüzüncü Yıl Üniversitesi öğrencisi Rojin Kabaiş'in şüpheli ölümüyle ilgili soruşturma kapsamında ailesi ve avukatlarıyla bir araya geldi. Görüşmede dosyanın aydınlatılması için yürütülen çalışmalar detaylı şekilde ele alındı.

Bakan Gürlek, devlet olarak olayın çözülmesi için her türlü imkânın seferber edildiğini vurguladı. Aile ve avukatların dile getirdiği talepleri dikkatle dinleyen Gürlek, özellikle "daraltılmış baz çalışması" için teknik imkânların değerlendirileceğini belirtti.

Telefon incelemesi için yeni adım

Görüşmenin en önemli konularından biri Rojin Kabaiş'e ait cep telefonunun incelenmesiydi. Telefon daha önce şifre çözümü için İspanya'ya gönderilmiş ancak sonuç alınamamıştı. Bakan Gürlek, telefonun şimdi de Çin'e gönderileceğini açıkladı. Bu adımın, soruşturmada kritik veri ve delillere ulaşılması açısından önemli bir aşama olacağı değerlendiriliyor.

Bakan, "Biz devlet olarak bu işin sonuna kadar gideceğiz. Ailenin ve avukatların tüm taleplerini dikkate alıyoruz" mesajı verdi. Aile, soruşturmanın daha etkin yürütülmesi, olası şüphelilerin DNA incelemeleri ve diğer teknik çalışmaların hızlandırılması taleplerini iletti.

Aile ve avukatların talepleri

Rojin Kabaiş'in babası Nizamettin Kabaiş, annesi Aygül Kabaiş ve diğer aile üyeleriyle birlikte avukatların katıldığı görüşmede, dosyadaki gecikmeler ve eksiklikler de gündeme geldi. Aile, özellikle üniversite rektörü ve çevresindeki isimler üzerinde yoğunlaşan şüphelerin giderilmesi için ek incelemeler talep etti. Bakan Gürlek'in görüşmede bu taleplere olumlu yaklaştığı ve teknik imkânlar doğrultusunda değerlendirme yapılacağı kaydedildi.

Rojin Kabaiş, Ekim 2024'te Van'da kaybolduktan 18 gün sonra Van Gölü kıyısında cansız bedeni bulunmuştu. Olayın intihar mı yoksa şüpheli bir ölüm mü olduğu tartışmaları uzun süredir devam ediyor. Aile ve kamuoyu, dosyanın aydınlatılması için aylardır adalet çağrısı yapıyor.

Adalet Bakanlığı, soruşturmanın titizlikle sürdürüldüğünü ve yeni teknik adımlarla ilerleme kaydedileceğini belirtiyor. Aile ise süreç boyunca şeffaf ve hızlı bir soruşturma talep etmeye devam edeceklerini ifade etti.

YSK Başkanlığı'na Serdar Mutta Seçildi

YSK, yeni başkanını belirledi. Yargıtay üyesi ve mevcut YSK Üyesi Dr. Serdar Mutta, YSK Başkanlığı'na seçildi

06.05.2026 17:08:00 / Güncelleme: 06.05.2026 18:05:40
Haber Merkezi
YSK Başkanlığı'na Serdar Mutta Seçildi
YSK Başkanlığı'na Serdar Mutta Seçildi
Yüksek Seçim Kurulu (YSK), yeni başkanını belirledi. Yargıtay üyesi ve mevcut YSK Üyesi Dr. Serdar Mutta, YSK Başkanlığı'na seçildi.

YSK üyeleri, bugün gerçekleştirdiği olağan toplantıda gizli oylama ile başkan ve başkanvekili seçimini tamamladı. Yapılan seçim sonucunda Dr. Serdar Mutta, YSK'nın yeni başkanı olarak belirlendi. Seçimde Mutta'nın oy çokluğuyla kazandığı öğrenildi.

Serdar Mutta, 26 Ocak 2023 tarihinde Yargıtay kontenjanından YSK üyeliğine seçilmişti. Hatay'ın Kırıkhan ilçesi doğumlu olan Mutta, İstanbul Üniversitesi Hukuk Fakültesi mezunu olup Yargıtay 12. Hukuk Dairesi üyeliği görevini de yürütüyordu. Daha önce Hakimler ve Savcılar Yüksek Kurulu (HSYK) Genel Sekreter Yardımcılığı gibi önemli görevlerde bulunan Mutta, seçim hukuku ve yargı süreçlerindeki tecrübesiyle tanınıyor.

YSK kaynakları, başkanlık seçiminin sorunsuz tamamlandığını ve yeni yönetimin çalışmalarına kısa süre içinde başlayacağını belirtti. Ahmet Yener'in görev süresi dolan başkanlığının ardından gelen bu değişim, yaklaşan seçim süreçleri öncesi yakından takip ediliyor.

Dr. Serdar Mutta'dan ilk açıklama 

Mutta yaptığı ilk açıklamada, "Ülkemizin demokrasisine ve adil seçim süreçlerine katkı sunmak için büyük bir sorumluluk üstlendim. Bağımsızlık, tarafsızlık ve hukuka bağlılık ilkeleri doğrultusunda görevimi en iyi şekilde yerine getireceğim" ifadelerini kullandı.

Türkiye'de geçen yıl 1 milyon 549 bin 574 trafik kazası oldu

Türkiye'de geçen yıl 1 milyon 549 bin 574 trafik kazası meydana geldi. Trafik kazaları sonucu 6 bin 35 kişi öldü

06.05.2026 14:46:00
AA
Türkiye'de geçen yıl 1 milyon 549 bin 574 trafik kazası oldu
Türkiye'de geçen yıl 1 milyon 549 bin 574 trafik kazası oldu
Türkiye İstatistik Kurumu (TÜİK), 2025 yılı kara yolu trafik kazası istatistiklerini yayımladı.

Buna göre, geçen yıl meydana gelen trafik kazası sayısı bir önceki yıla göre yüzde 7,3 artarak 1 milyon 549 bin 574 oldu. Bu sayının 1 milyon 261 bin 253'ünü maddi hasarlı, 288 bin 321'i ölümlü yaralanmalı kazalar oluşturdu.

Yıl içerisinde meydana gelen ölümlü yaralanmalı trafik kazalarının yüzde 86,5'i yerleşim yeri içinde, yüzde 13,5'i ise yerleşim yeri dışında meydana geldi.

Türkiye'deki toplam motorlu kara taşıtı sayısı 2024'te 31,3 milyon iken 2025'te 33,6 milyona yükseldi. Kara yolu trafik kazalarında ölen kişi sayısı ise 2024 yılında 6 bin 351 iken 2025 yılında 6 bin 35 oldu. Böylece 100 bin taşıt başına trafik kazası ölü sayısı 2024 yılında 20,3 iken 2025 yılında 18'e geriledi. Trafik kazalarında 403 bin 937 kişi yaralandı.

Türkiye'de geçen yıl meydana gelen 288 bin 321 ölümlü, yaralanmalı trafik kazasında 2 bin 541 kişi kaza yerinde, 3 bin 494 kişi ise sağlık kuruluşlarına sevk edildikten sonra 30 gün içinde hayatını kaybetti.

Söz konusu dönemde kara yolu trafik kazalarında günde ortalama 789,9 ölümlü yaralanmalı kaza, 16,5 ölüm ve 1106,7 yaralanma meydana geldi.

Türkiye'de 2025'te bir önceki yıla göre trafikteki motorlu kara taşıtı sayısı yüzde 7,4, toplam kaza sayısı yüzde 7,3, ölümlü, yaralanmalı kaza sayısı yüzde 8, hasarlı kaza sayısı yüzde 7,1 ve yaralı sayısı yüzde 4,9 artarken ölü sayısı toplamda yüzde 5 azaldı.

İllere göre ölümlü, yaralanmalı kaza sayıları incelendiğinde, en fazla ölü sayısı 290 ile Ankara'da, en fazla yaralı sayısı 47 bin 717 ile İstanbul'da görüldü. En az ölü sayısı 5 ve en az yaralı sayısı ise 294 ile Ardahan'da gerçekleşti.

Ölenlerin yüzde 50,7'si sürücüler
Kara yolu ağında geçen yıl gerçekleşen trafik kazalarında ölen kişilerin yüzde 50,7'sini sürücü, yüzde 29,3'ünü yolcu, yüzde 20'sini ise yayalar oluşturdu. Trafik kazalarında ölenler ve yaralananlar cinsiyetlerine göre incelendiğinde ise ölenlerin yüzde 77,8'inin erkek, yüzde 22,2'sinin kadın, yaralananların ise yüzde 70'inin erkek, yüzde 30'unu kadın olduğu görüldü.

Türkiye'de ölümlü, yaralanmalı trafik kazasına neden olan toplam 345 bin 489 kusura bakıldığında, kusurların yüzde 90,6'sının sürücü, yüzde 7,7'sinin yaya, yüzde 0,8'inin taşıt, yüzde 0,6'sının yolcu ve yüzde 0,3'ünün yol kaynaklı olduğu belirlendi.

Kusurlar alt başlıklara göre incelendiğinde "araç hızını yol, hava ve trafiğin gerektirdiği şartlara uydurmamak", toplam 345 bin 489 kusurun 114 bin 636'sını oluşturdu ve en sık görülen kusur oldu. "Kavşak, geçit ve kaplamanın dar olduğu yerlerde geçiş önceliğine uymamak" kusuru 52 bin 974 ile en sık görülen ikinci kusur olurken "arkadan çarpmak" 29 bin 735 kusur ile en sık görülen üçüncü kusur olarak kayıtlara geçti.

Ölümler kazanın oluş şekline göre incelendiğinde, ilk üç sırada 1190 ölüm ile yayaya çarpma, 1171 ölümle yoldan çıkma ve 1124 ölümle yandan çarpma yer aldı.

Kara yolu ağında meydana gelen 288 bin 321 ölümlü, yaralanmalı kazanın yüzde 65'i gündüz, yüzde 33,1'i gece ve yüzde 1,9'u alaca karanlıkta gerçekleşti.

Kaza ve sonuçları değerlendirildiğinde, ölümlü, yaralanmalı kazaların yüzde 50,1'i tek araçlı, yüzde 43'ü iki araçlı ve yüzde 6,9'u çok araçlı kazalardan oluştu.

Yaralanmaların ise yüzde 55'i iki araçlı, yüzde 37,4'ü tek araçlı ve yüzde 7,6'sı çok araçlı kazalarda meydana geldi. Ölümlü, yaralanmalı kazaların yüzde 54,3'ü iki araçlı, yüzde 39,6'sı tek araçlı ve yüzde 6,1'i ise çok araçlı kazalarda yaşandı.

Ölümlü, yaralanmalı trafik kazasına karışan toplam 484 bin 683 taşıtın yüzde 45,2'si otomobil, yüzde 31,3'ü motosiklet, yüzde 12,5'i kamyonet, yüzde 1,9'u minibüs, yüzde 1,9'u bisiklet, yüzde 8'i çekici, yüzde 1,5'i otobüs, yüzde 1,5'i kamyon, yüzde 0,9'u bilinmeyen, yüzde 0,6'sı elektrikli skuter, yüzde 0,6'sı traktör ve yüzde 0,4'ü ise özel amaçlı, iş makinesi, ambulans, tren, tramvay, at arabası taşıtlarından oluştu.

En çok kaza ağustosta, en az kaza şubatta
Türkiye'de geçen yıl en fazla ölümlü, yaralanmalı kazanın meydana geldiği ay yüzde 10,4 ile ağustos oldu. En az kaza ise yüzde 5,7 ile şubatta gerçekleşti.

Haftanın günlerine göre bakıldığında ise ölümlü, yaralanmalı kazaların yüzde 15,1 ile en fazla cuma günü ve yüzde 13,6 ile en az pazar günü meydana geldiği görüldü.
logo

Beşyol Mah. 502. Sok. No: 6/1
Küçükçekmece / İstanbul

Telefon: (212) 624 09 99
E-posta: internet@yenimesaj.com.tr gundogdu@yenimesaj.com.tr


WhatsApp iletişim: (542) 289 52 85


Tüm hakları Yeni Mesaj adına saklıdır: ©1996-2026

Yazılı izin alınmaksızın site içeriğinin fiziki veya elektronik ortamda kopyalanması, çoğaltılması, dağıtılması veya yeniden yayınlanması aksi belirtilmediği sürece yasal yükümlülük altına sokabilir. Daha fazla bilgi almak için telefon veya eposta ile irtibata geçilebilir. Yeni Mesaj Gazetesi'nde yer alan köşe yazıları sebebi ile ortaya çıkabilecek herhangi bir hukuksal, ekonomik, etik sorumluluk ilgili köşe yazarına ait olup Yeni Mesaj Gazetesi herhangi bir yükümlülük kabul etmez. Sözleşmesiz yazar, muhabir ve temsilcilere telif ödemesi yapılmaz.